審美歯科治療(詰め物・被せ物) COSMETIC DENTISTRY

詰め物・被せ物治療症例集

明眸皓歯(めいぼうこうし:美しい女性を形容した四字熟語。美しく澄んだ瞳と白く整った歯のこと)という言葉があります。 昔から白く綺麗な歯は魅力的な人に欠かせない要素です。歯のホワイトニングが広く普及している現代でも、歯の色や形、歯並び、歯茎の色と口元の悩みは尽きません。 当院ではカウンセリングルームや完全個室の診療室などプライバシーに配慮した診療体制を整え、きめ細かい対応をいたします。 お化粧では隠せない口元のお悩み、まずはご相談ください。


オールセラミッククラウン①

  • 治療前
  • 手術直後
  • 治療後


治療本数 2本+ホワイトニング
(前歯部)
費用 ・オールセラミック
クラウン
110,000(税込)×2
・トライアルオフィス
ホワイトニング
8,800(税込)
治療回数 3
オールセラミッククラウンのリスク 噛む力が強い方の場合、
割れる可能性がある
オフィスホワイトニングのリスク 歯の色が後戻りする
可能性がある
被せ物にはホワイトニングの効果がない

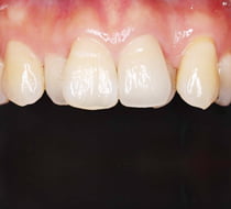
ジルコニアセラミッククラウン①

  • 治療前
  • 手術直後
  • 治療後


治療本数 1
費用 ジルコニアセラミック
クラウン
132,000(税込)×1
治療回数 2
ジルコニアセラミッククラウンのリスク 噛む力が強い方の場合、
割れる可能性がある

オールセラミックアンレー

  • 治療前
  • 治療後


治療本数 1
費用 60,500
治療回数 2
セラミックアンレーのリスク 強い衝撃が加わると、
割れたり・欠けたりする
可能性がある

インプラント+オールセラミッククラウン

  • 治療前
  • 治療後


治療本数 10
費用 オールセラミッククラウン ¥110,000×6歯(税込)
インプラント 4
治療回数 8
インプラントのリスク チタンアレルギーを引き起こす可能性がある
インプラント周囲炎を起こす可能性があるなど
オールセラミッククラウンのリスク 噛む力が強い方の場合、
割れてしまう可能性がある

ダイレクトボンディング①

  • 治療前
  • 除去後
  • 充填後


治療本数 1
費用 38,500(税込)
治療回数 1
ダイレクトボンディングのリスク 外れたり、割れたりするリスクがインレーより高い

ダイレクトボンディング②

  • 治療前
  • 除去後
  • 充填後


治療本数 1
費用 38,500(税込)
治療回数 1
ダイレクトボンディングのリスク 外れたり、割れたりするリスクが
インレーやクラウンより高い

美しい笑顔をサポートする
審美歯科治療 We try to keep close to everyone in the community

美しい笑顔に必要なのは歯の白さだけではありません。バランスのよい歯の形や自然な弧を描く歯並び、歯茎の見え方なども大変重要な要素です。審美歯科治療では、理想の笑顔に近づくために、さまざまな視点から詰め物・被せ物のデザインを検討し、治療にあたっております。

BEAUTY 歯科医療における美しさの基準について

スマイルライン

上あごの歯の先端を結んだラインがどのようになっているかは重要な基準で、これをスマイルラインといいます。笑った時の下唇が描く曲線のラインと上あごの歯の先端を結んだラインが同じになると魅力的で美しいとされています。

ゴールデンプロポーション

前歯の大きさの基準となります。横幅が真ん中の歯から「1.618 : 1 : 0.618」になっていると、最も美しく、かつバランスよく見えると言われています。

ガムライン

歯茎と歯の境目のラインをガムラインと呼びます。このラインが左右対称の曲線だと、バランスよくみえます。また笑った時に上あごの歯茎がどれくらい見えるかも審美的な基準としては重要です。歯茎が見えすぎる場合をガミースマイルといいます。笑った時の上唇のラインと歯茎のラインが一致していて見えないか、1mmほど歯茎が見える状態が理想的といわれています。

エステティックライン
(E-ライン)

横顔で鼻先と顎の先端を結んだラインをエステティックライン(Eライン)と言います。ラインの内側に唇が入ると理想的です。

歯の形やスタイル

歯の形にもさまざまなタイプがあります。優しい印象を与える歯、知的な印象を与える歯、華やかな印象の歯などからお好みに合わせて選択することができます。顔全体とのバランスをみながら歯の形・大きさ・並べ方を調整します。

WORRY 金属アレルギーを心配される方へ

歯科用金属と金属アレルギー

過去に虫歯を治療した経験がある人の口の中には、「アマルガム」や「金銀パラジウム合金」という金属が使用されていることがあります。近年、こういった歯科用金属による金属アレルギーの報告が増えています。症状や検査結果により歯科用金属が原因であると判断された場合、外用薬や内服薬の使用では治癒しないため、金属除去などの治療が必要となります。

歯科用金属で
金属アレルギーが
発症するメカニズム

口の中の金属はいつも唾液に触れているため溶けだしやすい環境にあります。溶けだした金属はイオン化し、体内でたんぱく質と結合して、アレルゲン(アレルギーの原因物質)になります。これらは口の粘膜や腸から吸収された後、汗として皮膚から分泌されて発症するため、手の平や足の裏に多くの水泡状の湿疹があらわれることもあります。(=掌蹠膿疱症:しょうせきのうほうしょう)
金属アレルギーを心配される方には、審美性もよいメタルフリー治療を行うことをおすすめします。

メタルフリー治療 METAL FREE TREATMENT

メタルフリー治療とは、セラミック、ジルコニアなど、金属ではない素材を使用した詰め物・被せ物治療です。メタルフリー治療では、前述のような金属アレルギーの危険性を回避できるのはもちろん、いわゆる銀歯・金歯などのように目立つことなく、まるで天然歯のような見た目をつくることができます。

CHOICE 詰め物・被せ物の選択について

セラミックインレー
1本5万5千円(税込)〜

自然で透明感のある美しい歯に仕上げることができます。
セラミックであるため年数がたっても水分を吸収せず、変色や退色がありません。

オールセラミッククラウン
1本11万円(税込)

自然な透明感を引き出し、明るく美しい歯に仕上げることができる審美的に優れた冠です。全てをセラミックだけで作り上げ金属を一切使わないため、金属アレルギーの方にも使用できます。歯肉とのなじみも良く、かぶせ物周辺の歯肉の健康が維持できることもメリットの一つです。はぎしりのある患者様、噛み合わせの状態などによっては、利用できない場合があります。

ジルコニア
セラミッククラウン
1本13万2千円(税込)

ジルコニアは「人工ダイヤモンド」とも呼ばれ、セラミックの中で最も優れた審美性・耐久性を誇ります。強度も強く、ブリッジやインプラントなどにも使えます。変色や劣化も少なく、金属よりも軽い上金属アレルギーも起こしません。前歯ではさらにセラミックを盛り足すことで審美性がより高まります。

※詰め物・被せ物の料金には形成料・型取り代・接着セメント・調整料から本体まですべて含まれた金額となります。
 当院の自費診療にはクレジットカードでのお支払いが可能です。

ダイレクトボンディング Direct bonding

ダイレクトボンディングとは、お口の中で直接歯にレジンをもって修復する治療法です。ダイレクトボンディングに使用するレジンは保険治療で使用するレジンよりも高品質で審美性が高いものになります。(当院では健保適用外のGCグラディア、GCエッセンシアを使用しています)

また治療法も様々な色調のレジンを歯の構造に合わせ、少しずつ塗り重ねて形成していきますので、天然の歯に近い自然な白さに仕上げることができます。

このようなお悩みはありませんか?

CHECK

  • 奥歯の小さな銀歯が気になるので、
    歯と同じ色にしたい
  • 歯の欠けやすきっ歯、保険診療のレジンの
    着色など、前歯の見た目が気になっている
  • 通院回数を減らしたい!
  • できるだけ歯を削らずに治したい
  • 歯と同じ色の白い治療は、
    診療費が高いので悩んでいる

以上に当てはまる方はダイレクトボンディングによる修復で解決できるかも知れません。

DIRECT BONDING ダイレクトボンディングによる
審美修復のメリット

1回の通院で治療完了

ダイレクトボンディングは、虫歯を取り除いた後、その部分に直接材料を詰めて修復・研磨します。型どりをしませんので、1~2時間のうちに治療が完了します。

健康な歯をほとんど削らずに済む

虫歯部分のみを取り除き、その部分だけを修復することが可能です。銀歯による詰めものや、セラミックを使った治療と比べると、健康な歯を削る量は少なくなります。

自然な硬さで周りの歯を痛めない

銀歯と比べて柔らかい(硬すぎない)ため咬み合う歯や周囲の歯を傷めません。

セラミック治療より安価

通院回数が少ないこと、型どりがいらないこと、セラミックを製作する技工費用がかからないことなどから、ダイレクトボンディングは、セラミックを使った審美修復と比較すると治療コストを抑えることができます。


ダイレクトボンディングのデメリット

症例が限られる

レジンという性質上、セラミックや金属と比較すると強度が劣るため大きな歯の欠損には適していません。また食いしばりや歯ぎしり、かみしめのくせがある方にも適しません。術前に診査、診断を行いダイレクトボンディングで治せると確認しておく必要があります。

一回の治療時間が長い

治療手順が繁雑であるため1本の歯を仕上げるのに1時間以上かかることもあります。

保険のレジン修復よりも高価

ダイレクトボンディングには保険が適用されません。

ダイレクトボンディング治療費

1面 33,000円(税込)
2面 38,500円(税込)
2面 +
隣接面を含む複雑窩洞
44,000円(税込)~

より精密で美しさの長持ちする
治療を目指して Aiming for more precise and beautiful treatment

マイクロスコープを使った
詰め物被せ物のチェック

せっかくセラミックで治療を行っても、隙間や段差があると、虫歯が再発するリスクが上がります。しかし当院では歯科用マイクロスコープの中でも上位機種である、最大倍率25倍のマイクロスコープ・ライカM320-Dを導入しているため、詰め物・被せ物と患者様の歯との間に隙間や段差がないかなどを、しっかりと可視化して調べることが可能です。

根の治療をより精密に

被せ物を必要とする歯のほとんどが、神経を取ってしまった「失活歯」です。神経の治療は歯科治療の中でも難しく、成功率が非常に低いことでも知られています。当院では根の治療に万全を期すため、マイクロスコープと歯科用CTを併用した治療も行っています。歯科用CTで根の走行を調べ、隠れた根管がないかをチェックするとともに、根を直接マイクロスコープで観察することにより、レントゲンで写らない汚れなどを取り除いていきます。この方法により、根管治療(根の治療)の成功率は飛躍的に上昇します。

インビザライン日記 インプラント日記 医院ブログ 症例集