SKY & GARDEN DENTAL OFFICE

お口の健康と笑顔をトータルプロデュース

地域の皆様に寄り添い
お口の健康と美しさを守る治療を
心がけています。 We try to keep close to everyone in the community
and treat the health and beauty of your mouth.

MESSAGE

埼玉県さいたま市南区の医療法人スカイ&ガーデンデンタルオフィスのホームページをご覧いただき、誠にありがとうございます。
当医院は、埼京線『武蔵浦和』駅から徒歩3分にあるアクセス良好の歯医者です。さいたま市南区地域のホームドクターとして、虫歯や歯周病などの一般歯科治療や小児歯科、予防歯科はもちろん、日本口腔外科学会認定医によるインプラント治療、米国アライン社認定ドクターによるマウスピース矯正(インビザライン)などを実施し、幅広い年齢層の患者様への診療を行っております。

また、当医院では診療の中でカウンセリングの時間を大切にし、患者様のお声に耳を傾け、患者様に寄り添った歯科医療をご提供できるよう努めています。ご自身の口腔内のお悩みや歯の治療に関するご不安な点、不明点やご要望がございましたら、何でもお答えいたしますので、気兼ねなくご相談ください。カウンセリングのご予約は、当ホームページまたは電話にて予約可能です。

院長・スタッフ紹介ページへ

8つの特徴 EIGHT FEATURE

  1. 豊富な症例数・
    「ダイヤモンドドクター」
    によるインビザライン

    インビザラインは数あるマウスピース矯正の中で、最も信頼性の高い世界のトップブランドです。矯正治療研究の発展が著しいアメリカの企業が開発・提供する技術で、2021年現在、全世界で1000万人以上が治療を受けています。当院は豊富な年間症例数が認められアライン社認定「インビザライン・ダイヤモンドドクター」を受賞致しました。インビザライン公式認定ドクターが常勤で勤務する当院に、他の医院では治療が難しいといわれた方も、是非一度ご相談ください。
    インビザライン矯正の詳細はこちら

  2. 口腔外科専門医
    による親知らず抜歯

    当院には大学病院や総合病院で難しい抜歯を担当している口腔外科専門医が5名在籍しており、親知らず専門外来として診療しております。経験豊富な医師が患者様の不安や痛みを最小限に抑えるため、あらゆる工夫をしております。また外科手術に伴う不安や恐怖心に関しては「笑気鎮静法」も対応しております。他院で抜歯を断られた方もまずはお気軽にご相談ください。
    親知らず専門外来の詳細はこちら

  3. 骨造成術にも対応の
    インプラント治療

    日本口腔外科学会認定医である担当医がインプラント治療を行い、全身の状態やお口の中の状況を総合的に診断し、患者様のご希望に沿った治療計画をご案内いたします。骨が少ないなどの理由で、インプラントが難しいと診断された患者様でも、骨造成などの施術により治療が可能な場合があります。「私の歯でもインプラント治療ができる?」などのお悩みをお持ちの方は、武蔵浦和にある当医院へお気軽にご相談ください。ご相談は、お電話やメールからでも承っております。
    インプラント治療の詳細はこちら

  4. 精密な治療で
    再発を防ぎます

    当医院では、歯科用CTとドイツ製のマイクロスコープ(ライカM320-D)を完備し、根の治療を従来より精密に行い再発防止に努めています。また、最大倍率25倍というマイクロスコープの利点を活かし、被せ物や詰め物に至るまで、一切妥協せず、欧米諸国と同等のレベルの治療を提供します。
    精密歯科診療の詳細はこちら

  5. 徹底した
    滅菌・感染対策

    当医院は「歯科外来環境体制施設」として認定された歯科医院です。これは当医院が厚生労働省に対し清潔な環境・院内感染対策について、国が定める基準を満たしていることを申請し、認められたことを表しています。患者様に清潔な環境で治療を受けていただけるよう、ゴム手袋や注射針、メスなどは、全て使い捨てのものを使用しています。また、使い捨てられない器具は高圧蒸気滅菌器で滅菌し、患者様毎に滅菌されたものを使用しています。

  6. なるべく
    痛みの少ない治療

    歯の治療の際に行う部分麻酔の注射が苦手な患者様のために、当医院では表面麻酔と電動注射器を使用しています。注射の前にジェル状の表面麻酔薬を塗布することで、針が刺さる痛みを緩和することができます。また、麻酔薬を事前に常温に戻し、電動注射器を用いることで、麻酔薬注入の圧力による痛みを患者様は感じにくくなります。

  7. 女性歯科医師在籍・
    カウンセリング重視

    当医院はカウンセリングを重視しており、患者様に寄り添った診療を心がけております。患者様のお悩みやご希望を受け止め、問題を解決するための歯の治療方法をご提案させていただきます。また院長である永田歯科医師の他に、女性の口腔外科医も在籍しておりますので女性歯科医師による診療を希望される患者様は、遠慮なくお申し出ください。女性の患者様ならではの体調の悩みや妊娠中の不安、美しい口元や若さへのこだわりにも共感をもって寄り添います。

  8. まるで歯が生え
    変わった
    ような感動を

    当医院の審美歯科治療では、失った歯を補うだけでなく、色味や形状を周囲の歯と調和させた、天然歯に近い自然な見た目を心がけています。また、セラミックやジルコニアといった金属以外の素材を用いた、金属アレルギーの心配がなく、身体にやさしい詰め物・被せ物治療も行っております。 審美歯科治療の詳細はこちら

インビザライン矯正 INVISALIGN

歯並びの美しさは
品の良さを表します

インビザラインは数あるマウスピース矯正の中でも特に有名で信頼性の高い世界のトップブランドです。矯正治療研究の発展が著しいアメリカの企業が開発・提供する技術で、2021年までに全世界で1000万人以上が治療を受けています。当医院では常勤医全員がインビザライン認定医の資格を取得し、治療にあたっています。

インビザラインの詳細はこちら

スカイ&ガーデン デンタルオフィスのインビザライン矯正は治療費総額をあらかじめご提示する
「トータルフィーシステム」。毎回の調整料は矯正治療費に含まれています。

  • 部分矯正用
    インビザライン
    Invisalign Extra パッケージ
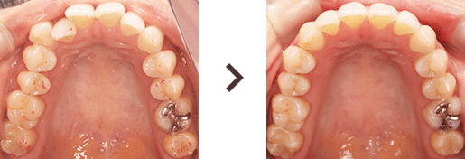
    治療前
    治療後

    このような症状の方へ

    • マウスピース7個まで
    • 上下前歯部のみ
    • 治療期間:約3ヶ月

    合計 440,000円 税込

  • 軽度矯正用
    インビザライン
    Invisalign lite パッケージ
    治療前
    治療後

    このような症状の方へ

    • マウスピース14個まで
    • 治療期間:約6ヶ月

    合計 550,000円 税込

  • 標準矯正用
    インビザライン
    Invisalign
    治療前
    治療後

    このような症状の方へ

    • マウスピース個数制限なし
    • マウスピース追加作製も無料

    合計 880,000円 税込

スカイ&ガーデンデンタルオフィスのインビザライン POINT

  • 豊富な症例数・インビザライン認定医常駐

    インビザラインを提供している米国アライン社には、年間症例数に応じて認定を受けるシステムがあります。当院は2020年9月、アライン社認定「インビザライン・ダイヤモンドドクター」を受賞致しました。他の医院では治療が難しいといわれた方も様々なお悩みに対応しておりますので、目立たないマウスピースでの矯正をお考えの方は是非、一度ご相談ください。

  • デンタルローンが
    使用可能

    矯正治療は保険診療ではありませんので、決して安くはありません。当医院では、高額になりがちな治療費をデンタルローンを利用して分割で支払っていただくことが可能です。デンタルローンの利用によって、多くの患者様に無理なく治療を受けていただくことができるようになりました。もちろん、クレジットカードもご使用いただけます。

  • 審美歯科が得意な
    クリニック

    当医院は審美歯科の患者様が多く来院される、審美歯科が得意な歯科クリニックです。インビザライン治療中の虫歯治療や、矯正後の治療においても、ただ単に白い詰め物・被せ物で歯を修復するだけでなく、科学的に証明された黄金比などを用い、誰が見ても美しいと思う治療を行うことが可能です。

  • MFT

    88,000 税込〜/年

    歯並びを改善するトレーニング

    歯並びを決めるのは遺伝だけではありません。食べているものや指しゃぶりなどの悪習癖などよっても変わってきます。当医院では筋肉を調整することで歯並びを整えるトレーニング・MFTを行っています。小児期に「プレオルソ」という装置を用いたMFTを行うことで、歯並びの改善や顔立ちを美しく整える効果が期待できます。

    MFTの詳細はコチラ

  • MTAセメント

    22,000 税込〜/回

    歯髄温存療法で
    「生きた」歯を残す

    MTAセメントはミネラルを主成分とした歯科材料です。細菌を化学的に殺菌することができるため、僅かであれば虫歯菌に感染した歯髄を殺菌して残すことができます。神経を取って死んでしまった歯は折れやすく寿命が短くなるため、歯を「生きた」まま残すことができるMTAセメントを用いた歯髄温存療法に近年注目が集まっています。

    MTAセメントの詳細はコチラ

  • パウダーメンテナンス

    初回 5,500 税込 2回目以降 11,000 税込

    快適な新時代のクリーニング

    水溶性のパウダーを歯に吹き付けるパウダーメンテナンスは、歯に優しく、痛みも少ないクリーニングです。パウダーは歯を傷付けないよう硬さを調整しつつ、従来のクリーニングでは落としにくかった着色もしっかりと落とすことができます。粒子が非常に小さいため歯と歯の間などの汚れが残りやすい部分のお掃除も可能です。

    パウダーメンテナンスの詳細はコチラ

  • ガムピーリング

    片顎 5,500 税込/回 ※その他にもコースをご用意しています

    健康的な歯肉で若返り効果

    歯茎の黒ずみはタバコや食品、紫外線によって現れます。変色した歯茎は不衛生な印象を与え、実年齢よりも高齢に見られがちです。当医院では歯茎の色をピンク色に戻すガムピーリングの治療を行っています。薬剤を用いて歯茎の黒くなった部分を取り除くため、明るく健康的な歯肉に生まれ変わらせることができます。

    ガムピーリングの詳細はコチラ

  • IMPLANT 第二の永久歯と言われるインプラントで快適な食事を

    スカイ&ガーデンデンタルオフィスのインプラント治療は日本口腔外科学会認定医の資格を持つ担当医が行います。インプラント治療では、患者様の健康状態がインプラント治療に適しているか、インプラント治療を行うならどんな治療方法で行うのがよいかを見極めるための診断・治療計画が非常に重要です。当医院では、インプラント治療の担当医が歯科用CTなどを用いて精密に検査を行い、患者様の口腔内のお悩みやご希望に耳を傾けながら、患者様と一緒に治療計画を立ててまいります。ご費用や治療にかかる期間なども詳しくご説明いたしますので、気になることは何なりとお申し付けください。

    また当医院では、骨が少なく、従来であればインプラント治療が難しいと診断された患者様でも、骨造成などの施術によってインプラント治療が可能な場合があります。他院では断られてしまったけれど、インプラント治療をご希望の患者様はぜひ一度、武蔵浦和駅から徒歩5分にある当医院へご相談ください。

    READ MORE

  • ORAL SURGERY 抜歯の痛みを最小限に抑えた親知らず専門外来

    スカイ&ガーデンデンタルオフィスでは、大学病院や総合病院で難易度の高い抜歯を数多く経験している日本口腔外科学会の認定医が在籍しており、親知らず専門外来として診療しております。

    患者様におかれましては特に親知らず抜歯中のお痛みが気になるかと思いますが、表面麻酔や極細の麻酔針を使用することでなるべく痛みを抑えた治療をご提供させて頂きます

    また、抜歯後のお痛みや腫れを最小限にするべく、侵襲を最小限にするための配慮を行い、炎症が強く出ないよう工夫しております。

    READ MORE

  • CERAMIC 見た目の美しさを追求したセラミック治療

    詰め物・被せ物治療は、虫歯などで歯の一部を失った時に、欠損部分を補う治療のことです。咀嚼や発話などの機能を回復するほか、笑ったときなどに見える歯を自然に美しく見せる効果があります。当医院では、より自然な見た目を目指して、詰め物・被せ物の色合いや形状などを意識した歯の治療を行っています。

    また、金歯や銀歯に代表される金属の詰め物・被せ物は、長年、口の中に入っていることで溶出し、お口の中のたんぱく質と結合することで、金属アレルギーを引き起こす恐れがあります。そのため、当医院では金属を使用しない詰め物・被せ物治療であるメタルフリー治療を実施しています。

    メタルフリー治療はセラミック(陶器)やジルコニアを使用した詰め物・被せ物治療で、金属アレルギーの心配がないほか、見た目も白いため自然で、金歯や銀歯より目立ちにくいという特徴があります。

    READ MORE

  • PREORTHO 小児用矯正装置「プレオルソ」

    近年、保護者の方からお子様の歯並びに関するお悩み相談が増加しています。小児期の顎の成長は、顔立ちに大きな影響を与えます。当医院で導入している「プレオルソ子供歯ならび矯正法」はマウスピース型矯正装置を用いた3~10歳頃のお子様にぴったりな治療法です。

    柔らかい樹脂でできたマウスピースをお口につけて、歯や顎を移動させます。同時にお口の周囲筋のトレーニングを行うことで、歯並びやかみ合わせを整えることができます。小児期から矯正に取り組むことで、自然で美しい口元を実現することが可能です。

    READ MORE

インビザライン日記 インプラント日記 医院ブログ 症例集