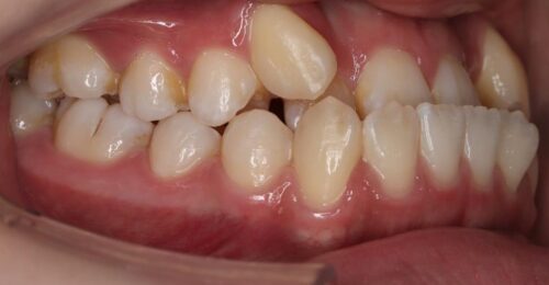
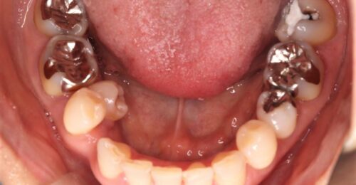
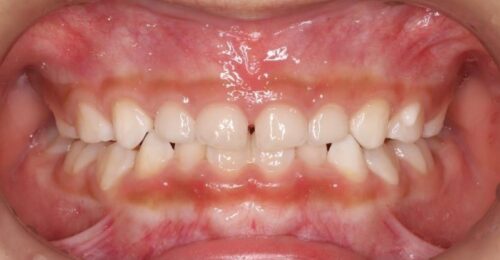
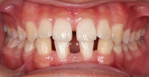
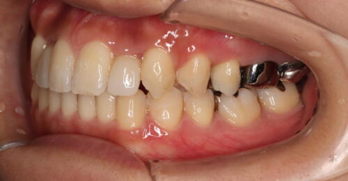
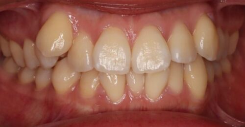
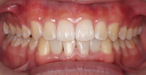
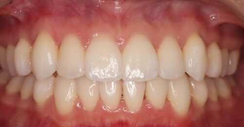
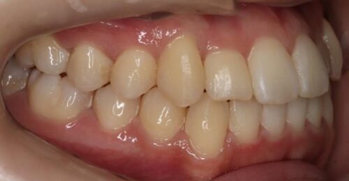
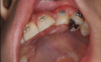
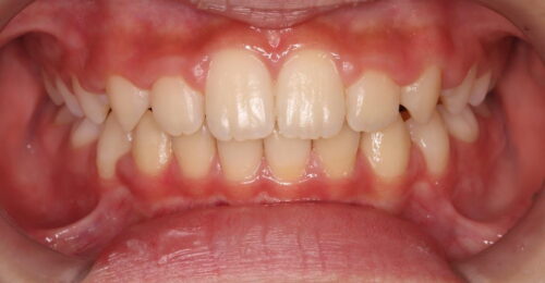
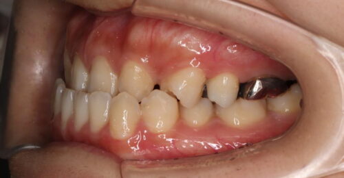
症例集一覧 Case すべて インプラント セラミック治療 ダイレクトボンディング ホワイトニング 歯茎のホワイトニング 矯正治療 上顎前歯1本のインプラント治療症例 20代女性 審美治療 カテゴリー:インプラント 詳しく見る 八重歯・叢生 マウスピース矯正(インビザライン)26歳女性 非抜歯 カテゴリー:矯正治療 詳しく見る 受け口 マウスピース矯正(インビザライン) 20代女性 非抜歯 カテゴリー:矯正治療 詳しく見る インビザラインによる術前矯正と下顎先欠歯2本のインプラント症例 カテゴリー:インプラント , 矯正治療 詳しく見る 混合歯列期の前歯部反対咬合、プレオルソとMFT、6歳男児 カテゴリー:矯正治療 詳しく見る インビザラインによる術前矯正と下顎小臼歯部のインプラント症例 カテゴリー:インプラント , 矯正治療 詳しく見る 混合歯列期の上顎前突・過蓋咬合、プレオルソとMFT、8歳男児 カテゴリー:矯正治療 詳しく見る 埋伏過剰歯を摘出、永久歯を牽引した咬合歯列期の矯正症例 カテゴリー:矯正治療 詳しく見る 開創して永久歯を牽引した全顎矯正症例 カテゴリー:矯正治療 詳しく見る インプラントアンカーを用いたワイヤーによる部分矯正症例 カテゴリー:矯正治療 詳しく見る 1 / 2 ページ2次へ »