症例集 CASE

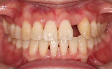
上顎前歯1本のインプラント治療症例 20代女性 審美治療

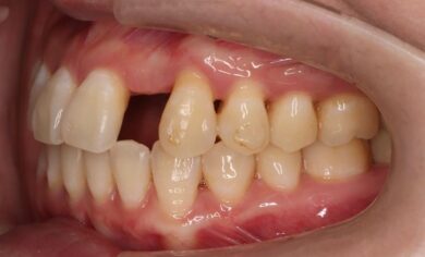
上あごの中央から2番目の歯(側切歯)が抜歯となってしまい、インプラント治療を希望し来院された患者様です。

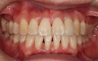
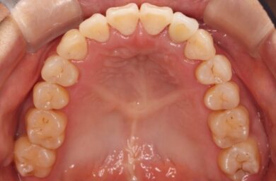
術前矯正終了後、インプラントの埋入手術を行いました。インプラントは世界シェアNo,1の「ストローマン」インプラントを採用しています。

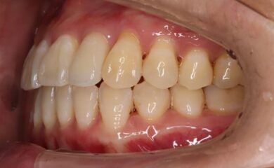
インプラントと歯茎の移行部も自然で、清掃しやすく、審美性が回復されたと大変ご満足いただけました。

インプラント治療におけるリスク

  1. 心疾患、骨粗鬆症、重度の糖尿病等、内科的な疾患のある方は、インプラント治療が適さないケースもあります。また普段服薬しているお薬等も治療に影響する事があります。
  2. 骨の成長途中になるお子様(およそ20歳未満の方)、妊婦の方はインプラント治療が受けられません。
  3. 上顎にインプラントを埋入する際に、上顎洞膜を破る可能性があります。その場合、他に埋めることが可能な場所を検討します。手術後に抗生剤を服用する事で感染予防をし、膜が自然にふさがるまで治癒を待ちます。
  4. 舌下動脈、下歯槽動脈、上歯槽動脈など、血管損傷による出血のリスクがあります。
  5. 免疫力や抵抗力が低下している方、歯周病の発生リスクの高いとされる糖尿病の方、口腔内の衛生状態の悪い方や、喫煙者の方は、インプラント治療がすぐにできない事があります
  6. インプラント術後は違和感、痛み、腫れ、内出血などが発生する場合があります。これらは手術による身体の炎症反応であり、一時的なもので、多くの場合1週間程度で治まります。
  7. インプラントが生着する時間が必要なため、全体で3~6ケ月程度の治療期間が必要です。骨造成手術を行う場合はさらに期間を要します。
  8. 口腔内の衛生状態が悪い方、歯ぎしり、くいしばりの強い方はインプラント周囲炎(インプラントの歯周病)を引き起こす可能性があります。日ごろから丁寧なメインテナンスが必要となり、咬合調整やナイトガード(マウスピース)の装着も必要になる場合があります。
  9. お身体の状態や細菌感染により、術後インプラントが骨と結合しない場合があります。この場合、原因を取り除いてご希望により再治療を行います。
治療方法 ストローマンインプラント(ジルコニアセラミック上部構造)
治療期間 6か月
治療費 検査診断料:¥33,000
ストローマンインプラント埋入手術:¥275,000
ジルコニアセラミック上部構造:¥132,000

インビザライン日記 インプラント日記 医院ブログ 症例集