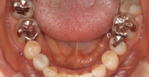
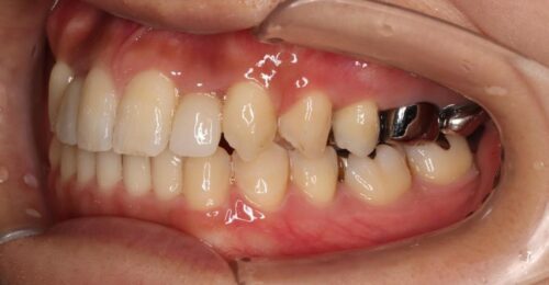
インプラント治療例一覧 Case すべて インプラント セラミック治療 ダイレクトボンディング ホワイトニング 歯茎のホワイトニング 矯正治療 上顎前歯1本のインプラント治療症例 20代女性 審美治療 カテゴリー:インプラント 詳しく見る インビザラインによる術前矯正と下顎小臼歯部のインプラント症例 カテゴリー:インプラント , 矯正治療 詳しく見る インビザラインによる術前矯正と下顎先欠歯2本のインプラント症例 カテゴリー:インプラント , 矯正治療 詳しく見る 上顎前歯2本の先天性欠如と受け口の症例 カテゴリー:インプラント , 矯正治療 詳しく見る 下顎前歯1本の先天性欠如と小臼歯の舌側転位症例 カテゴリー:インプラント 詳しく見る マウスピース矯正後、上顎大臼歯にインプラント1本埋入症例 カテゴリー:インプラント 詳しく見る