マウスピース矯正後、上顎大臼歯にインプラント1本埋入症例
「インプラント治療を受けたい」と来院された患者様です。右上奥歯(写真☆印)は歯根が折れ、抜歯せざるを得ない状況でした。
患者様は前歯の歯並びも気になるとお話しされており、まずは術前矯正としてマウスピース矯正・インビザライン(*1)を開始し、6か月で前歯のガタガタを整えました。
インビザラインの最終段階で、インプラント埋入手術と骨造成術を行いました。オッセオインテグレーション(*2)を待つ間に、詰め物被せ物の作り直し等、虫歯治療も行っています。
矯正治療終了後、インプラントの上部構造を製作。現在は保定中ですが、ホワイトニングにも興味があるとのことで、マウスピースを利用したホームホワイトニング(*3)を計画中です。
(*1)インビザライン:金具やワイヤーを使わず、取り外し可能なマウスピース型の矯正装置を使用して歯並びをなおす歯列矯正法
(*2)オッセオインテグレーション:インプラント体のチタンと顎の骨が直接結合すること
(*3)ホームホワイトニング:歯科医院に通わず、自宅でオーダーメイドのマウスピースを用いて行うホワイトニング
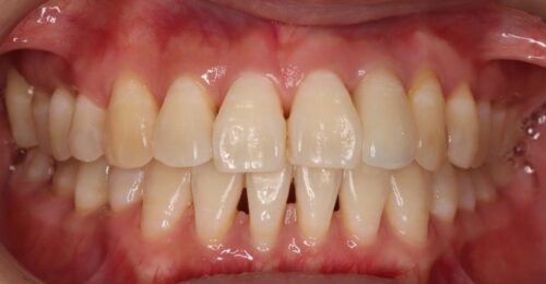
口腔内写真

矯正治療におけるリスクと副作用
歯列矯正を始めるに当たり、以下のリスクがあることを説明し、
患者さんには十分ご理解頂いた上で治療を行います。
- 後戻り、加齢・成長による変化:矯正歯科治療により歯並びが改善されても治療終了後そのままにしておくと、元の歯並びに戻ろうとする傾向があります。これを防止するために一定期間保定装置という後戻り防止装置を使用していただく必要があります。また後戻りとは別に、加齢変化や成長により歯並びは変化します。
- 歯根、歯肉への影響:歯を動かすことにより、歯根が短くなったり、歯肉が退縮したりする可能性があります。歯と歯の間の歯肉が下がると歯間に三角形の隙間ができることがあります(ブラックトライアングル)。
- 歯への影響:歯の神経は生きていますが、何らかの原因によって神経が死んでしまうことがあります(失活)。失活すると歯が黒く変色してしまうことがあります。
- 矯正治療途中で、白い樹脂(レジン)を使って、歯の形態修正を行う可能性があります。また、エナメル質を削って隙間を作ったり、抜歯を行う可能性もあります。
- セラミックや金属の被せ物治療がされている歯は、歯の表面にアタッチメントやブラケットなどの器具を付けるため、一旦冠をはずして仮歯にする場合があります。
- 矯正治療中に虫歯が発見された場合は、同時に治療することも可能ですが、歯の形に大きく影響がある場合は、矯正治療を中断する可能性もあります。
- 顎関節症状:矯正治療中に顎関節に不快な症状(顎を動かすと音がなる、痛みがある、動かしづらい等)が生じることがあります。その原因は特定しづらく、矯正歯科治療との関連性は不明である場合がほとんどですが、必要に応じて検査を行い、適切に処置する必要があります。
インプラント治療におけるリスクと副作用
インプラント治療を始めるに当たり、以下のリスクがあることを説明し、
患者さんには十分ご理解頂いた上で治療を行います。
- 心疾患、骨粗鬆症、重度の糖尿病等、内科的な疾患のある方は、インプラント治療が適さないケースもあります。また普段服薬しているお薬等も治療に影響する事があります。
- 骨の成長途中になるお子様(およそ20歳未満の方)、妊婦の方はインプラント治療が受けられません。
- 上顎にインプラントを埋入する際に、上顎洞膜を破る可能性があります。その場合、他に埋めることが可能な場所を検討します。手術後に抗生剤を服用する事で感染予防をし、膜が自然にふさがるまで治癒を待ちます。
- 舌下動脈、下歯槽動脈、上歯槽動脈など、血管損傷による出血のリスクがあります。
- 免疫力や抵抗力が低下している方、歯周病の発生リスクの高いとされる糖尿病の方、口腔内の衛生状態の悪い方や、喫煙者の方は、インプラント治療がすぐにできない事があります
- インプラント術後は違和感、痛み、腫れ、内出血などが発生する場合があります。これらは手術による身体の炎症反応であり、一時的なもので、多くの場合1週間程度で治まります。
- インプラントが生着する時間が必要なため、全体で3~6ケ月程度の治療期間が必要です。骨造成手術を行う場合はさらに期間を要します。
- 口腔内の衛生状態が悪い方、歯ぎしり、くいしばりの強い方はインプラント周囲炎(インプラントの歯周病)を引き起こす可能性があります。日ごろから丁寧なメインテナンスが必要となり、咬合調整やナイトガード(マウスピース)の装着も必要になる場合があります。
- お身体の状態や細菌感染により、術後インプラントが骨と結合しない場合があります。この場合、原因を取り除いてご希望により再治療を行います。
| 治療本数 | マウスピース矯正(インビザライン):上下顎 インプラント(ストローマンシステム):1本 |
|---|---|
| 治療期間 | マウスピース矯正:6か月 インプラント:6か月 |
| 治療費用 | マウスピース矯正(検査診断料含む):¥550,000 インプラント検査診断料(CT撮影含む):¥30,000 骨造成術+インプラント埋入手術費用:¥300,000 ジルコニアセラミック上部構造:120,000 |