症例集 CASE

マウスピース矯正とブリッジで欠損部を補綴した症例

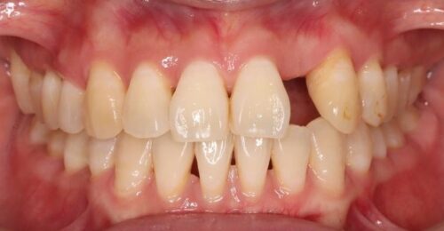
30代女性、「ブリッジを入れる前に歯並びを治したい」とご相談にいらした患者様です。他院でブリッジを入れる治療を進めていたそうですが、以前より歯列矯正をしたいというご希望があったとのこと。軽度の叢生があったため、マウスピース矯正で治療をすることになりました。

ブリッジの土台となる歯に一旦仮歯を入れてからマウスピース矯正を開始。1年かからずに理想的な歯並びを獲得できました。最終補綴でブリッジを入れております。

矯正治療における抜歯:非抜歯
リスク:歯肉退縮、歯根吸収、後戻り、顎関節症

治療本数 マウスピース矯正(インビザライン):上下顎
保険適応ブリッジ:3本
治療期間 マウスピース矯正(インビザライン):12か月
ブリッジ:1か月
費用 マウスピース矯正(検査診断料含む総額):¥550.000
ブリッジ:健康保険適応

インビザライン日記 インプラント日記 医院ブログ 症例集