症例集 CASE

混合歯列期の前歯部反対咬合、プレオルソとMFT、6歳男児

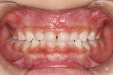
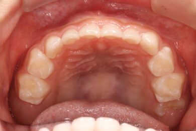
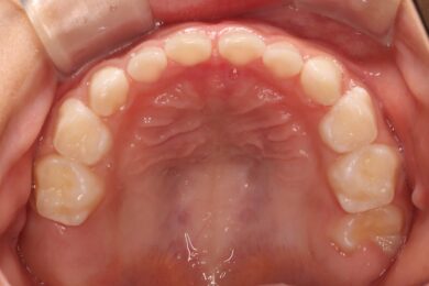
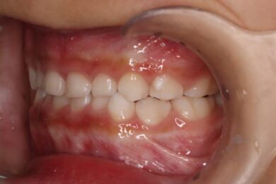
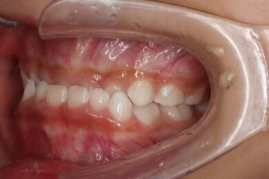
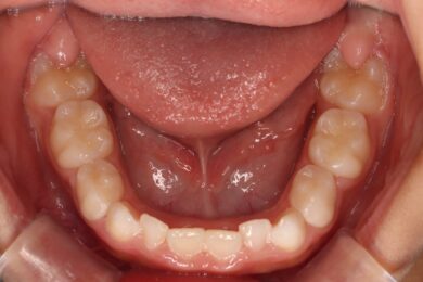
6歳男児。前歯の咬み合わせを治したい、を主訴に来院されました。

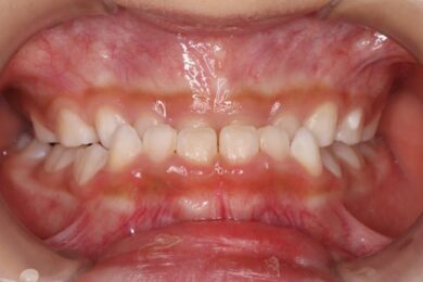
乳歯列の反対咬合を改善するため、1年間プレオルソを使用しながらMFTを行いました。

開始時からプレオルソを上手に装着できたこともあり、就寝時だけの使用にもかかわらず、一か月で咬み合わせに改善が認められました。

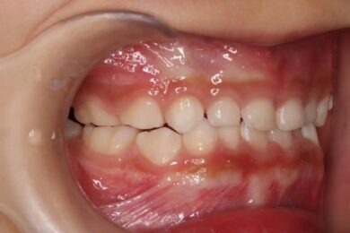
前歯部では永久歯への生え代わりが次々におこりますが、前歯の永久歯が安定するまでプレオルソを拡大調整し、定期的にご来院いただきます。

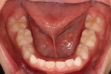
また発音に問題はありませんが、舌小帯強直症(*)があるため、小学生になったら「舌小帯切除術」を当院口腔外科で行います。

(*)舌小帯とは、舌の裏側の真ん中にある縦のすじです。舌の発育と舌小帯の退縮がうまくいかず、小帯が索状物として舌の動きを制限するような状態を舌小帯強直症といいます。舌を出したときに舌の先端がハート型にくびれます。

  • 治療前

  • 治療後

治療方法 プレオルソとMFT(口腔筋機能療法)
費用 プレオルソ装置代と1年間のMFT管理料
¥88,000(税込み)
治療期間 1年
リスクと副作用 ・適用年齢が限られる。
・装着時間が短い、誤った装着方法で使用するなどした場合、効果が得られないことがある。

インビザライン日記 インプラント日記 医院ブログ 症例集