症例集 CASE

開創して永久歯を牽引した全顎矯正症例

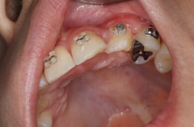
永久歯(左上の犬歯)が顎の骨の中で正しい方向に成長せず埋まったままになっていました。(埋伏歯)

また左上の中央から2番目の歯は生まれつき存在しませんでした。(先天性欠如)

永久歯2本分の場所に、大人になるまで乳歯が残ってしまった症例です。

  • 症例写真

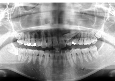
①乳歯を抜歯して、②永久歯にブラケットを装着し、③両側の歯のブラケットと繋げて牽引していきます。

その後ワイヤー矯正治療を行いました。

歯の方向を整えることで、見た目の改善はもちろん、しっかりと咬めるようになります。

総額治療費用 800,000円
総治療期間 約3年
通院頻度 通院1か月毎
リスク/副作用 ・牽引する歯に歯槽骨との癒着があると治療計画の変更が必要
・ワイヤー矯正中は歯磨きをきちんとしないと虫歯や歯周病のリスクが高い
・高度な治療技術が必要

インビザライン日記 インプラント日記 医院ブログ 症例集