症例集 CASE

インプラントアンカーを用いたワイヤーによる部分矯正症例

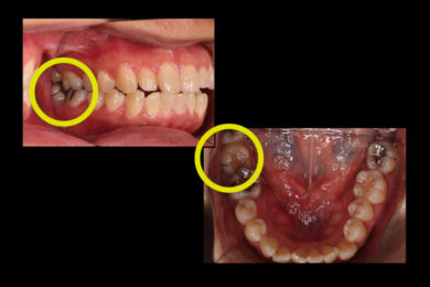
親知らずの前にある奥歯が斜めに生え、年々倒れていくのが心配になり来院されたケースです。

倒れた歯は歯磨きがしにくいため虫歯になっていました。

他院にて倒れた歯の神経を取り、被せ物で咬み合わせを安定させる方法を提案されたそうですが、神経を取ることに不安があり、セカンドオピニオンを受けたいと来院されました。

  • 症例写真

治療経過

①倒れている歯の後ろにある親知らずは虫歯になっており、咬み合う歯がないため抜歯しました。

②歯を起こすスペースができたので、顎の骨にインプラントアンカーという小さいネジを埋め込み、倒れた奥歯を繋げて矯正用のゴムで起こしていきます。

③歯がまっすぐに起き上がったら、ワイヤーによる部分矯正でさらに微調整をします。手前の歯と繋げて位置を調整したら保定期間を設けます。

正しい噛み合わせの獲得と、虫歯治療を最小限の侵襲で行うことができました。

総額治療費用 175,000円+税
(内訳:ワイヤー部分矯正¥150,000 + インプラントアンカー¥25,000
総治療期間 6か月
通院頻度 通院1か月毎
リスク/副作用 ・稀にインプラントアンカーを埋め込む際に痛みや腫れの出ることがある
・部分矯正中は歯磨きをきちんとしないと虫歯や歯周病のリスクが高い
・高度な治療技術が必要

インビザライン日記 インプラント日記 医院ブログ 症例集