症例集 CASE

八重歯・叢生 マウスピース矯正(インビザライン)26歳女性 非抜歯

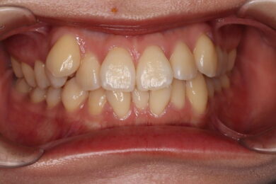
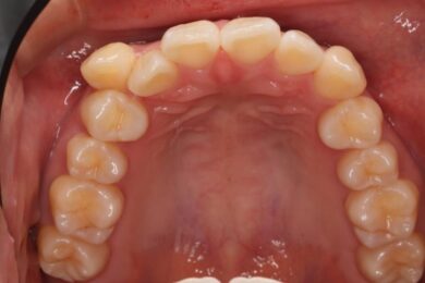
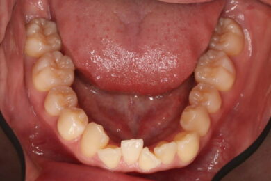
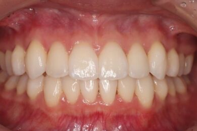
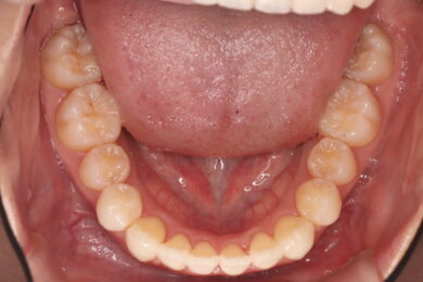
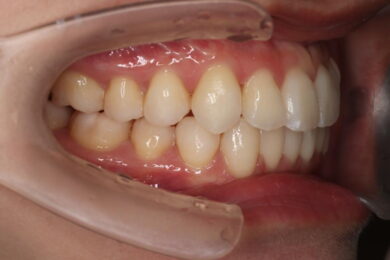
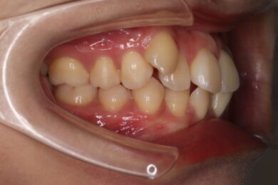
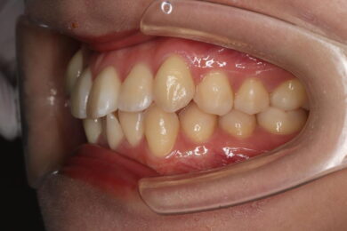
「前歯のガタガタ(叢生)と八重歯を治したい」を主訴に来院された患者様です。上下の歯にIPRを加え、歯列弓の拡大を行い、非抜歯で前歯のガタガタを整えました。顎間ゴムを用い、咬み合わせも改善されています。アライナーの装着時間が長く、チューイをしっかり使用していただけたため、非常に短時間で仕上がりました。

  • 治療前

  • 治療後

使用装置 マウスピース矯正(インビザライン)
抜歯・非抜歯 非抜歯
治療期間 15か月
治療費 検査・診断料 ¥50,000(税別)
矯正治療費 (毎回の調整料含むトータルフィーシステム、追加料金なし) ¥800,000(税別)
ホワイトニング オフィスホワイトニング
矯正治療におけるリスクと副作用 ・後戻り、加齢・成長による変化:矯正歯科治療により歯並びが改善されても治療終了後そのままにしておくと、元の歯並びに戻ろうとする傾向があります。これを防止するために一定期間保定装置という後戻り防止装置を使用していただく必要があります。また後戻りとは別に、加齢変化や成長により歯並びは変化します。
・歯根、歯肉への影響:歯を動かすことにより、歯根が短くなったり、歯肉が退縮したりする可能性があります。歯と歯の間の歯肉が下がると歯間に三角形の隙間ができることがあります(ブラックトライアングル)。
・歯への影響:歯の神経は生きていますが、何らかの原因によって神経が死んでしまうことがあります(失活)。失活すると歯が黒く変色してしまうことがあります。
・矯正治療途中で、白い樹脂(レジン)を使って、歯の形態修正を行う可能性があります。また、エナメル質を削って隙間を作ったり、抜歯を行う可能性もあります。
・セラミックや金属の被せ物治療がされている歯は、歯の表面にアタッチメントやブラケットなどの器具を付けるため、一旦冠をはずして仮歯にする場合があります。
・矯正治療中に虫歯が発見された場合は、同時に治療することも可能ですが、歯の形に大きく影響がある場合は、矯正治療を中断する可能性もあります。
・顎関節症状:矯正治療中に顎関節に不快な症状(顎を動かすと音がなる、痛みがある、動かしづらい等)が生じることがあります。その原因は特定しづらく、矯正歯科治療との関連性は不明である場合がほとんどですが、必要に応じて検査を行い、適切に処置する必要があります。

インビザライン日記 インプラント日記 医院ブログ 症例集