症例集 CASE

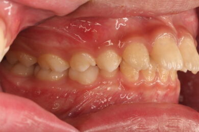
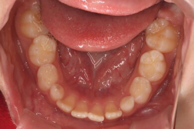
混合歯列期の上顎前突・過蓋咬合、プレオルソとMFT、8歳男児

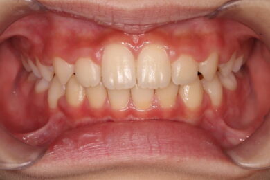
8歳男児。口元が出っ歯気味でいつもぽかんと口を開けているのを治したいと来院されました。

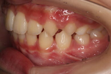
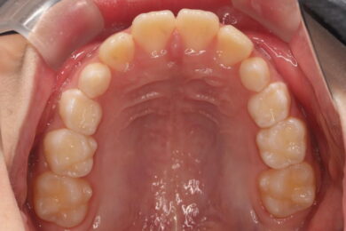
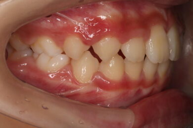
1年間プレオルソを使用しながらMFTを行いました。

口輪筋を鍛えるとかみ合わせや歯並びだけでなく、口角が上がり口元がキリッと変化しました。

「お口ぽかん」はMFTで効果的に改善する症例ですが、顔貌や姿勢も正しくなります。

永久歯列が完成するまで、保定のため就寝時プレオルソを使用します。

  • 治療前

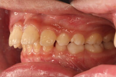
  • 1年後

治療方法 プレオルソとMFT(口腔筋機能療法)
費用 プレオルソ装置代と1年間のMFT管理料
¥88,000(税込み)
治療期間 1年
リスク・副作用 ・適用年齢が限られる。
・装着時間が短い、間違った装着方法で使用するなどした場合、効果が得られないことがある。

インビザライン日記 インプラント日記 医院ブログ 症例集