こんにちは。スカイ&ガーデンデンタルオフィス 歯科衛生士 橋本です。
前回ワイヤーをセットしてから約四か月が経ちました。
今回新しいパワーチェーンや細かい所の調整をするのでお話ししていきます。
早速前回と比較していきましょう。
上顎も下顎もどんどん歯が動いてきています。
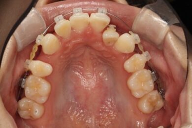
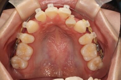
上顎のビフォアアフター
抜歯して空いたスペースが少しずつ埋まってきているのが分かりますね。
2か月前 現在
上顎の方は左の前から2番目の歯が入るスペースを確保するために、3番目の犬歯を奥の方(後ろ)に下げていきます。
右側も同様、全体を奥の方(後ろ)に下げていきます。
左の2番目の歯が前方に出てくるためにはスペース確保が必要です。歯と歯の間を広げてスペースができたらやっとブラケットが付けられます。
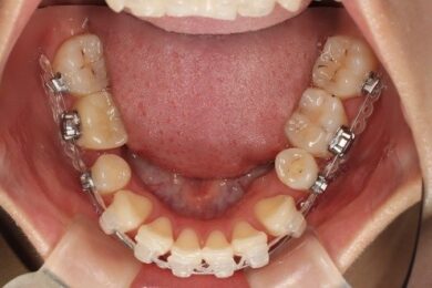
下顎のビフォアアフター
2か月前 現在
下顎の方は重なりが解けるよう、一本一本並ぶように全体的に動いてきています。
臼歯の内側に倒れていたところも起きてきて上を向くようになってきています。
今までは抜歯したところを中心にパワーチェーンをつけていましたが、今回の調整からはパワーチェーンを全体につけ奥(後ろ)に下げていきます。全体の重なりをなくしていきます。
矯正装置が付いてから4カ月でここまで動きました。順調に進んできています。
私の場合は特に大きい痛みを感じることもなく、噛み合わせもしっかりと確保できています。
ワイヤー矯正・インビザラインに興味のある方は武蔵浦和の歯科医院、スカイ&ガーデンデンタルオフィスまでお気軽にお問い合わせください。



