インビザライン日記 INVISALIGN DIARY

インビザライン日記一覧 Invisalign_diary

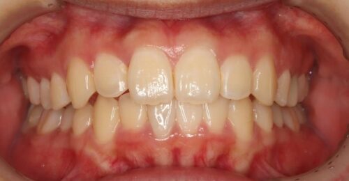
ワイヤー交換一回目。どんどん歯並びが変わっていきます!

こんにちは。武蔵浦和の歯科医院 スカイ&ガーデン デンタルオフィスの歯科衛生士 橋本です。   前回初めてワイヤーをセットしてから約2か月が経ちました😊 今回新しいワイヤーに交換するのでお話ししていきます。   どのくらい歯が動いたか確認しましょう 1本目のワイヤーをつけてから約2か月でワイヤーが真っ直ぐになってき …

詳しく見る

インビザライン日記 インプラント日記 医院ブログ 症例集