こんにちは。武蔵浦和の歯医者、スカイ&ガーデンデンタルオフィスの歯科衛生士の堀内です✨
前回のブログでは院長がインプラントの歯の部分、上部構造について説明を加えさせていただきました。
さて今回ですが、いよいよ私のインプラントに上部構造が入りましたのでその報告をしますね😊😊
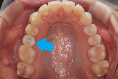
上部構造が入りました!
矢印の部分がインプラントの歯に当たる部分、上部構造です🦷
セラミックの中でも、最も強度のあるジルコニアセラミックでできています🦷🦷
取り付け方法は管理のしやすいスクリュー固定(スクリューリテイン)です。



専用のドライバーを使ってセットしていきます🔧が、私の場合、最初ギュっと歯茎に押し付けられるような感じがありました💦
1時間くらいで落ち着いたので普通に食事をしてみたのですが🍙、最初から自分の歯のように食べることができました。
噛み応えのあるお肉も大丈夫でしたよ🍖
インプラントのセルフケアについて
さてさてブログの後半はインプラントのお手入れについてです😤😤
インプラントは患者様ご自身でのセルフケアが必要です。
自分の歯と同じように磨いていただければよいのですが、歯ブラシを細かく動かし、歯肉との境目を特によく磨きます😃
当院ではインプラント専用の歯ブラシも取り扱っています。
ジーシー社「ルシェロシリーズ」のハブラシ、「I-20 インプラント」です。

この歯ブラシはインプラントが磨きやすい凹状の形をした毛先が特徴です。
インプラントの周囲の歯茎にも優しい極細テーパー毛で、ヘッドの部分も小さくてとても磨きやすいのでお勧めです❣
さらに歯間ブラシやデンタルフロスを用いて、歯とインプラントの間、インプラント同士の間の部分もよく磨いて下さい。
隙間が小さいところにはデンタルフロス、隙間の大きいところには歯間ブラシやタフトブラシが効果的です☺☺

歯磨き粉や洗口液を使用しても構いませんが、ブラッシングがしっかりできている上で併用すると効果が期待できます。
また当院ではインプラント専用の歯磨きジェルを置いています。
ジーシー社の「ジェルコートIP」です💨
インプラントを腐食させるフッ素が無配合で、高い殺菌力でインプラント周囲炎を防ぐ効果があること、血行促進効果があることからインプラントが入っている方にはお勧めです。
泡立たないジェルタイプなのも使いやすいですよ✨✨
インプラントのお手入れはどなたでも最初は不安だと思いますが、ブラッシングは普通にやっていただいてよく、あまり神経質になる必要もないと思います。
私も最近ではインプラントも歯もあんまり意識しないでブラッシングしてしまっています💦💦
今まで歯が無かったので、上部構造の歯が入って、見た目もよく、噛みやすく、やっぱりインプラントやってよかったな~と思っています((´∀`*))
次回はインプラントを長持ちさせるため必要なプロフェショナルケア、歯科医院でのメンテナンスについてお話しします👀
インプラントに興味のある方は 武蔵浦和の歯医者 スカイ&ガーデンデンタルオフィスまでお気軽にお問い合わせください。
(関連記事:インプラント治療)