

Q1、舌小帯異常とはどういう病気ですか?
A1、舌小帯とは舌の下にある膜状のひだのことを指します。舌小帯が短く、舌の先端側に付着して、上手く舌を動かせない状態を舌小帯異常(舌小帯短縮症)といいます。
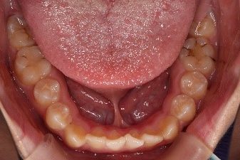
見た目の状態として
- 舌突出時に舌戦が小帯に引っ張られハート状にくぼむ
- 開校した状態で舌尖部が上方に上がらず顎につかない
などの症状があります。
舌小帯の異常の為、舌の運動が制限され、発音障害や哺乳障害、摂食障害が生じることがあります。
Q2,舌小帯異常といわれました。手術が必要ですか
A2,子供の成長時期により対応方法が異なります。
授乳時期の赤ちゃんでは、舌小帯は大人と比べて短く成長に伴い正常な形態へと変化することがある為、必ずしも手術しないといけないわけではありません。
この時期の舌の動きはミルクを飲むことに特化した動きをしています。哺乳に問題なく、体重の増加も順調であればすぐに手術をするのではなく、注意深く観察していきます。
Q3,言葉がしゃべりにくそうです。すぐに手術が必要ですか?
A3,言葉が出始める3歳頃では、舌小帯が原因で言葉がしゃべりにくいこともあるでしょう。
しかしまだ成長途中ですから舌だけでなく、口の周りの筋肉を上手に動かすことができないこともあります。言語が完成するまではご家庭でいっぱいおしゃべりをして経過をみたり、口腔筋機能療法(MFT)のトレーニングを行ったり、言語訓練を受けたりするのもよいでしょう。
(関連記事:口腔筋機能療法(MFT)と「プレオルソこども歯並び矯正法」その1)
ただし、舌小帯の異常による機能障害が本人の劣等感、ご家族の精神的不可につながるような場合には早期手術の検討が必要です。
Q4,歯並びに悪影響があるのでしょうか?
A4,舌を適切な位置(スポット)に置きづらくなるため舌低位という状態になり、歯並びに影響が出ることがあります。
食べ物や飲み物、唾を飲み込む動作(嚥下:えんげ)の際、舌を前方に押すようになり(舌突出癖)、以下のような不正咬合が起こります。
- 開咬:奥歯は噛んでいるが前歯が噛み合わずに常に前歯が開いている状態
- 下顎前突:下の顎が上の顎より前に出ている状態(受け口ともいいます)
- 前歯が出っ歯になったり、すきっぱになったりする。
MFTでは舌小帯を伸ばすためのトレーニングとしてホッピングやいくつか代表的なものがあります。
手術を受けるほどではないけど、少し舌の動きが悪い場合などはMFTを通して正しい使い方を習得することで十分改善することもあります。
Q5、舌小帯異常の手術はどのような手術ですか?
A5、舌小帯の周囲に局所麻酔を行い、舌小帯を切開します。
ハサミでごく浅い部分を切開したり、レーザーで焼き切ったりする方法もありますが、確実な方法としては前酢で切開を加えた後、舌がしっかり伸びることを確認して、開いた傷を縫合する術式です。術後1週間程度で抜糸をします。術後は再癒着防止のために、舌小帯を伸ばすトレーニングを行っていただきます。1か月後の診察で創が治癒し、症状の改善がみられれば治療終了となります。
年齢が小さいほど、舌小帯自体が薄いので、切除後も出血が少なく、安全です。
しかし年齢が大きくなってくると舌小帯が太く大きくなってくるので切除の際の出血も増えます。当然再癒着もおこりやすくなるので注意が必要です。
手術自体はそれほど大掛かりなものではありませんが、哺乳障害が生じていない乳児への手術に利点はないように思います。子供達には負担を強いる手術ですので必要性や手術時期を検討する必要があります。
(関連記事:小児歯科・小児矯正)